こんにちは。

高田馬場新田歯科医院 受付の松元です。

最近は季節はずれの暑さでまだ5月なのに夏バテしそうです

これから梅雨☔が来るとは思えないですね。

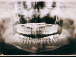
先日、私は右下の親知らずを抜歯しました!

IMG_8001

向かって左下に薄っすらと写っている歯です。

親知らずの一本手前の歯に違和感があり・・・・

もしかして虫歯❓と不安になり先生に相談したところ

親知らずの影響という事がわかりました。

ひとまず、虫歯ではなかった事に安心✨

そして親知らずは抜歯したほうが良いとの事でした。

抜歯、、、怖いな、、、。と思いましたがその影響で

手前の健康な歯が悪くなってしまうのは絶対に避けたいと思い

抜歯してもらう事にしました。

IMG_8002

今回、診断してもらい、やはり違和感や痛みを少しでも感じたら

放置せずに先生に診てもらったほうが良いな〜・・・

と改めて思いました。

まさか隣の親知らずが原因!

とは全く思ってもいなかったので。。。。

当院では、根管治療専門医の院長をはじめ、

義歯、補綴専門の先生、歯周病専門の先生、口腔外科専門の先生

が曜日ごとに診療していますので、口腔内の状態により

それぞれの専門の先生の診断、治療を受ける事が出来ます。

食べると違和感がある・・・

冷たいものでしみる・・・

他の歯医者さんで抜かないといけなと言われてしまった・・・

もしかして歯周病かも・・・・などなど

早めに相談しましょう❗

ご予約はこちらまで

高田馬場新田歯科医院

03-3232-0418

高田馬場新田歯科医院